PS1013 Sigma-AldrichPhosphoDetect™ Anti-VEGFR2 (pTyr1054/1059) Rabbit pAb
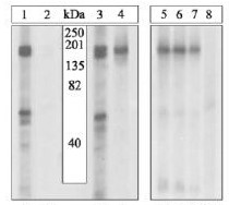
This PhosphoDetect™ Anti-VEGFR2 (pTyr1054/1059) Rabbit pAb is validated for use in Immunoblotting for the detection of VEGFR2 (pTyr1054/1059).
More>> This PhosphoDetect™ Anti-VEGFR2 (pTyr1054/1059) Rabbit pAb is validated for use in Immunoblotting for the detection of VEGFR2 (pTyr1054/1059). Less<<Synonymes: Anti-KDR/Flk-1, Phospho-Specific (Tyr1054/1059), Anti-VEGF Receptor 2, Phospho-specific (pTyr1054/1059)
Produits recommandés
Aperçu
| Replacement Information |
|---|
Tableau de caractéristiques principal
| Species Reactivity | Host | Antibody Type |
|---|---|---|
| M | Rb | Polyclonal Antibody |
Prix & Disponibilité
| Référence | Disponibilité | Conditionnement | Qté | Prix | Quantité | |
|---|---|---|---|---|---|---|
| PS1013-10T |
|
Ampoule plast. | 10 t |
|
— |
| Product Information | |
|---|---|
| Form | Liquid |
| Formulation | In Dulbecco's PBS (without Mg2+ and Ca2+), 1 mg/ml BSA, 50% glycerol, pH 7.3 (± 0.1). |
| Positive control | Porcine aortic endothelial (PAE) cells transfected with a CSF-1/mouse VEGFR2 chimeric receptor |
| Preservative | ≤0.1% sodium azide |
| Quality Level | MQ100 |
| Physicochemical Information |
|---|
| Dimensions |
|---|
| Materials Information |
|---|
| Toxicological Information |
|---|
| Safety Information according to GHS |
|---|
| Safety Information |
|---|
| Product Usage Statements |
|---|
| Packaging Information |
|---|
| Transport Information |
|---|
| Supplemental Information |
|---|
| Specifications |
|---|
| Global Trade Item Number | |
|---|---|
| Référence | GTIN |
| PS1013-10T | 04055977227086 |
Documentation
PhosphoDetect™ Anti-VEGFR2 (pTyr1054/1059) Rabbit pAb Certificats d'analyse
| Titre | Numéro de lot |
|---|---|
| PS1013 |
Références bibliographiques
| Aperçu de la référence bibliographique |
|---|
| Meyer, R.D., et al. 2002. J. Biol. Chem. 277, 27081. Zeng, H., et al. 2001. J. Biol. Chem. 276, 32714. Sato, Y., et al. 2000. Ann. N.Y. Acad. Sci. 902, 201. Rahimi, N., et al. 1999. Mol. Biol. Cell 10, 3401. |




